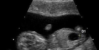
Echogenic Kidneys in the Fetus: What Parents Need to Know
For expectant parents, learning that an ultrasound scan revealed something odd can be a terrifying
For expectant parents, learning that an ultrasound scan revealed something odd can be a terrifying
Understanding when an invasive test may be needed can help expectant parents move forward with
The finding of a fetal cardiac anomaly can have significant implications. Get a detailed fetal
Each pregnancy has its own backstory. For many families, it’s a time of happy expectation,
Fetal brain ventriculomegaly is a condition where the ventricles of a fetus’s brain are larger
While the majority of umbilical cord abnormalities are benign and go away on their own,
The cell-free DNA prenatal screening involves a non-invasive, diagnostic test that detects certain conditions caused
Got a ‘high-risk’ result in your pregnancy report? It’s natural to have questions about what
Every ultrasound scan during pregnancy brings both anticipation and reassurance to expectant parents. Every mom-to-be
If you have concerns about sickle cell testing during pregnancy in Pune, don’t hesitate to