Skip to content
  • Home
  • About
    • Precious Clinic
    • Dr. Tejas Tamhane
  • Services
    • Fetal Scans
      • Pregnancy Sonography
    • Prenatal Screening
    • Fetal Medicine & Genetics Counselling
    • Prenatal Diagnostic & Fetal Interventional Procedures
  • Blog
  • Contact
+91 9682825757
+91 9682825757

Search

About the Author

fetal megacystis

Precious Fetal Medicine > Blog > fetal megacystis
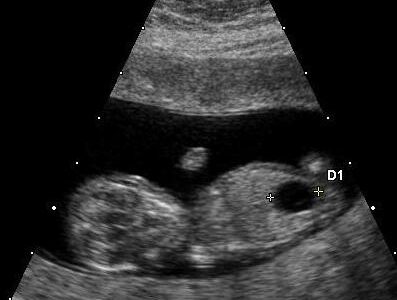
Fetal Megacystis Diagnosis In Pune
fetal megacystis

Fetal Megacystis: What Does It Indicate and How Is It Managed?

Oct 13, 2025 Dr. Tejas TamhaneComment on Fetal Megacystis: What Does It Indicate and How Is It Managed?

Every ultrasound scan during pregnancy brings both anticipation and reassurance to expectant parents. Every mom-to-be

About the Author

Calender

April 2026
M T W T F S S
 12345
6789101112
13141516171819
20212223242526
27282930  
« Mar    

Categories

  • Amniotic Band Syndrome
  • Cell-Free DNA Testing
  • Congenital Heart Defects Screening
  • Doppler Ultrasound
  • Echogenic Kidneys in the Fetus
  • Echogenic Small Bowel
  • Fetal Bladder Outlet Obstruction
  • Fetal Brain Ventriculomegaly
  • Fetal Echocardiography
  • Fetal Hydrops
  • Fetal Intervention
  • fetal megacystis
  • Fetal MRI
  • Fetal Pleural Effusion
  • Genetic Screening
  • Gestational Diabetes
  • high-risk pregnancy
  • Intrauterine Blood Transfusion
  • Intrauterine Growth Restriction
  • Invasive Prenatal Test
  • IVF Pregnancy Complications
  • Multifetal Pregnancy Reduction
  • Neural Tube Defects
  • NT Scan
  • Placental Abruption
  • Polyhydramnios
  • Preeclampsia Screening
  • Prenatal Genetic Counselling
  • Prenatal Genetic Screening
  • Prenatal Testing
  • Radio Interaction
  • Scans& Test
  • Sickle Cell Testing During Pregnancy
  • Single Umbilical Artery
  • Twin Growth Discordance
  • Twin Reversed Arterial Perfusion
  • Twin-to-Twin Transfusion Syndrome
  • Umbilical Cord Abnormalities

A specialised fetal medicine clinic offering advanced ultrasound diagnostics and expert pregnancy care in Pune. Because every pregnancy is precious.

Quick Links

  • Home
  • Dr. Tejas Tamhane
  • Services
  • Contact

Terms & Conditions

  • Privacy Policy
  • Term and Conditions
  • Sitemap

Services

  • NIPT Test
  • Amniocentesis
  • Double Marker Test
  • Anomaly Scan
  • Fetal Medicine & Genetics
  • Growth and Doppler Scan
  • Fetal Echocardiography
  • Multifetal Pregnancy Sonography
  • Viability and Dating Scan
  • Haemoglobinopathy Screening

Services

  • Fetal MRI
  • Down Syndrome Screening
  • Nuchal Translucency (NT) Scan
  • Fetal Neurosonogram
  • Chorionic Villus Sampling (CVS)
  • Intrauterine Blood Transfusion
  • Multifetal Pregnancy Reduction
Copyright © 2026 Precious Clinic | Designed by

WhatsApp us