The finding of a fetal cardiac anomaly can have significant implications. Get a detailed fetal echo test in Pune at Precious Clinic for Advanced Fetal Medicine for timely diagnosis and expert care.
Fetal Echo Test In Pune
Congenital heart defects (CHD) are among the most common birth anomalies, with over 200,000 children being born with CHD in India annually. And yet, in many cases, it goes undetected until late pregnancy or even after birth. This gap in early diagnosis can have serious implications, and this is where a fetal echo test plays a critical role.
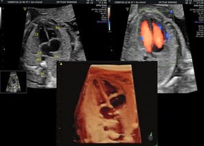
A fetal echocardiography is a specialised ultrasound focused solely on the baby’s heart. Unlike a routine anomaly scan, it provides a detailed assessment of cardiac structure, blood flow, rhythm and function. When done by an experienced Fetal Medicine Specialist, it can identify even subtle cardiac abnormalities long before delivery.
Understanding Fetal Cardiac Anomalies
Fetal cardiac anomalies range from minor defects that may resolve on their own to complex structural heart diseases requiring immediate intervention after birth. Conditions like ventricular septal defects, hypoplastic heart syndromes, transposition of great arteries and valvular abnormalities usually develop early in gestation. The challenge here is that many of these conditions are not easily detected on standard ultrasound scans, especially in high-risk pregnancies where multiple factors can complicate imaging.

Who Needs A Fetal Echo?
Ideally, everyone should get a fetal echo done from a specialist and for high-risk pregnancies, it is definitely recommended. This includes pregnancies where the mother has diabetes, thyroid disorders, autoimmune conditions or a history of congenital heart disease. Advanced maternal age, infections during pregnancy, exposure to certain medications and assisted reproductive techniques can also increase the risk of fetal heart anomalies.
In addition to that, if a routine scan shows abnormal cardiac views, irregular heart rhythm, increased nuchal translucency or other structural anomalies, a fetal echo becomes important. A family history of congenital heart disease is another important indicator, even if the pregnancy otherwise appears uncomplicated.
Why Early Evaluation of the Fetal Heart Is Crucial?
Fetal echocardiography is usually done between 20 and 24 weeks of gestation, when the fetal heart is developed enough to allow accurate evaluation. In certain high-risk cases, earlier scans may be advised, followed by repeat assessments later in pregnancy. Timely diagnosis helps in close monitoring and, in select cases, in-utero interventions.

Impact of Early Cardiac Diagnosis on Perinatal Outcomes
When a cardiac anomaly is detected, a multidisciplinary approach can be initiated. This can involve fetal medicine specialists, neonatologists, paediatric cardiologists, cardiac surgeons and genetic counsellors.
In contrast, undiagnosed cardiac defects can lead to sudden complications after birth, delayed treatment and avoidable distress for families.
A Proactive Step In High-risk Cases
High-risk pregnancies need a higher level of vigilance and fetal echocardiography is a part of that. It helps fetal medicine specialists offer specialised care and equips parents with the information. When it comes to the fetal heart, early insight can be life-changing.
If you or someone close to you has been diagnosed with a high-risk pregnancy, a fetal echocardiography may be advised. If you are looking for a reliable centre for a fetal echo in Pune, you may connect with the team at Precious Clinic for Advanced Fetal Medicine, where consultations are led by Dr Tejas Tamhane, an experienced Fetal Medicine Specialist known for his expertise in detailed fetal cardiac assessment.