Every ultrasound scan during pregnancy brings both anticipation and reassurance to expectant parents. Every mom-to-be looks forward to seeing their baby move, kick and grow. Occasionally, however, an ultrasound scan may indicate something unexpected. One such finding is fetal megacystis, a condition where the baby’s bladder appears unusually large. If you are worried about fetal megacystis diagnosis in Pune and looking for answers, get in touch with Dr Tejas Tamhane, a renowned Fetal Medicine Expert.
What is Fetal Megacystis?
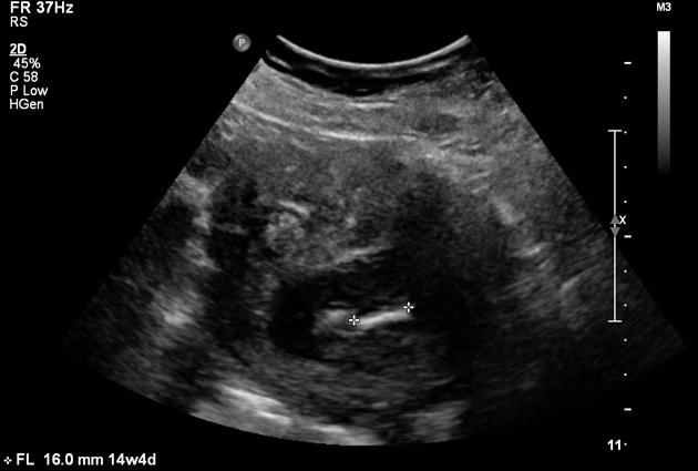
Fetal megacystis is characterised by an abnormally enlarged bladder visible on an ultrasound during pregnancy. It’s most often detected in the first or early second trimester, when the baby’s bladder can be visualised easily. Normally, the fetal bladder fills and empties regularly, a sign that the baby’s urinary system is working well.
In megacystis, the bladder remains persistently enlarged, often measuring more than 7 mm in length before 14 weeks of gestation. This typically suggests that urine is being produced but not emptied efficiently, indicating a possible issue in the lower urinary tract.

What Does It Indicate?
There isn’t one singular cause of fetal megacystis and the underlying reason can vary depending on the stage of pregnancy and the baby’s sex and anatomy.
In the early days of pregnancy, a large bladder may result from:
- Transient function delay – Sometimes the fetal bladder takes a little longer to mature and regulate urine flow.
- Obstruction in the urinary outflow tract – Most commonly, posterior urethral valves (PUV) in male fetuses, a blockage that prevents urine from passing normally.
- Chromosomal or genetic anomalies, which can affect overall fetal development.
When megacystis persists into the second or third trimester, it can lead to other issues. Because urine contributes to amniotic fluid volume, an obstruction can reduce fluid levels (oligohydramnios), affecting lung development and overall fetal growth. In such instances, it becomes crucial to assess kidney function, amniotic fluid and the baby’s general well-being.
What’s the Next Step?
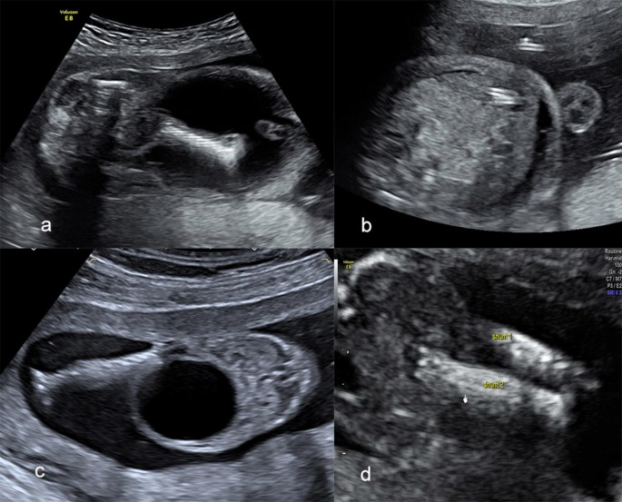
Once enlargement of the bladder is detected, the next step involves careful evaluation and monitoring. A detailed targeted ultrasound is done to examine the kidneys, ureters and bladder outlet and to look for any additional structural or chromosomal abnormalities.

In some cases, fetal karyotyping or genetic testing is done to rule out chromosomal conditions. A fetal echocardiogram and other specialist assessments may also be recommended if broader development concerns are suspected.
For families, this often brings a lot of uncertainty and worry. It’s important to remember that not all cases indicate severe or irreversible issues; some mild cases resolve on their own as the pregnancy progresses.
Fetal Megacystis – Management & Treatment Options In Pune
The management of fetal megacystis depends on its underlying cause and severity. In early and mild cases, regular monitoring is often all that’s required. Continuous ultrasound scans help track whether the bladder returns to its normal size or if the condition progresses.
If an obstruction is confirmed and the condition appears severe, more active intervention may be considered. One potential option is vesicoamniotic shunting, a minimally invasive procedure in which a small tube is inserted to drain urine from the bladder into the amniotic cavity. This can help relieve pressure on the kidneys and allow better lung development.

However, such procedures are not suitable for all cases and require careful selection and counselling.
Fetal Megacystis Diagnosis In Pune – Dr Tejas Tamhane
Hearing unfamiliar medical terms during pregnancy can be overwhelming. But it’s worth knowing that many babies with mild megacystis go on to have normal outcomes. Early and expert evaluation by a fetal medicine specialist makes all the difference, not just in diagnosis, but in guiding the family through every decision with compassion and clarity.
With close monitoring, supportive care and advances in prenatal intervention, the outlook for many of these babies continues to improve. And while the journey may feel uncertain at first, every step from the first ultrasound to the final plan can help the baby have the best possible start in life.
If you or someone you are close to is facing a fetal megacystis diagnosis in Pune, guide them to Dr Tejas Tamhane, who practices at Precious Clinic for Advanced Fetal Medicine.